Тольятти ваш город?
Да
Выбрать другой город

УЗИ-аппарат
Mindray DC-40 Exp

В наличии
Mindray DC-40 EXP – передовая УЗ-станция с уникальными возможностями для проведения медицинской диагностики в сегменте среднего класса. Компания Mindray разработала это устройство, которое отличается высоким качеством изображения и быстрым функционированием, что является важным в повседневной работе врача.
Лизинг
Доставка и лизинг по всей России
Включая Дагестан, Чечню и Крым
Гарантия
Гарантия на медицинское оборудование от производителя!
Послепродажный сервис
Инженерная поддержка
Инструктаж по монтажу и обучение персонала включены в стоимость
Гибкие условия
Оперативная доставка
Лизинг и доставка оборудования в наличии от 1 рабоего дня

Mindray DC-40 EXP– передовой УЗИ аппарат с уникальными возможностями для медицинской диагностики в среднем ценовом сегменте. Благодаря улучшенной фазовой гармонике PSH, технологии мульти-луча, режиму эластографии Natural Touch и нелинейной контрастной визуализации, DC-40 EXP превосходит даже конкурентов высшего класса, при этом оставаясь доступным по стоимости.

Применение технологий iBeam, iClear и iScape в аппарате позволяет получать объемные изображения высочайшего качества без нежелательного зернистого эффекта в области эхо-сигнала. Панорамная визуализация с расширенным обзором анатомических структур решает множество сложных диагностических задач, которые ранее представляли значительные трудности в ультразвуковой диагностике.

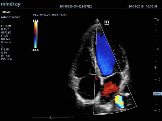
DC-40 EXP особенно полезен в кардиологических кабинетах благодаря функции Free Xros CM, которая позволяет отслеживать движения сердечной мышцы в различных фазах и одновременно определять синхронизацию миокарда. Это имеет огромное значение для точности диагноза.

Инженеры также обеспечили быстрый обмен данными между УЗИ сканером и смартфонами, необходимо установить приложение и выполнить необходимые действия. Теперь вы можете изучать историю обследований ваших пациентов вне клиники и принимать обоснованные медицинские решения с помощью Mindray DC-40 EXP. Благодаря MedSight результаты клинических исследований всегда под рукой.

УЗИ аппарат DC-40 EXP – это передовое медицинское оборудование, которое на протяжении многих лет поможет решать проблемы ваших пациентов, предоставляя готовые и точные диагнозы и выявляя даже самые серьезные патологии на ранних стадиях развития.

Технические возможности системы:

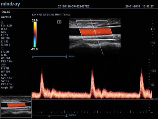
  • Автоматический расчет толщины комплекса интима-медиа
  • Программный модуль для получения панорамных изображений
  • Трехмерная реконструкция методом "свободной руки" (FreeHand 3D)
  • TDI - Тканевой доплер, включая цветное картирование, импульсный тканевой доплер, энергетический тканевой доплер и тканевой М-режим
  • Smart NT - Программа для автоматического определения и расчета толщины воротникового пространства у плода
  • Smart OB™ - Программа автоматического измерения основных параметров биометрии плода в акушерстве
  • Free Xros M™ - Анатомический М-режим (до 3-х срезов)
  • Free Xros CM™ - Огибающий анатомический М-режим (необходима установленная опция TDI)
  • Опция эластографии для оценки эластичности ткани (поддерживается на датчиках 7L4A, L12-3E и L14-6NE)
  • Опция для проведения обследования с применением контрастных веществ (поддерживается на датчике 3C5А)
  • Smart Bladder - Программа для автоматического оконтуривания полости мочевого пузыря и расчета его объема
  • iLive™ - Режим построения объемного изображения с применением технологии виртуальной свето-теневой обработки с возможностью перемещения источника освещения (необходим модуль Smart 3D или 4D)
  • iPage™ - Мультисрезовое томографическое отображение с регулировкой толщины среза (необходим модуль 4D)
  • Программа количественного анализа в режиме тканевого доплера (необходима установленная опция TDI)
  • Опции DICOM

Купить УЗИ аппарат Mindray DC-40 EXP

Компания Medicray специализируется на поставках медицинского оборудования в различные медицинские учреждения, такие как клиники, медицинские и хирургические центры, стоматологии и другие лечебно-профилактические учреждения. Мы гарантируем точное соблюдение сроков поставки, высокое качество нашего оборудования и конкурентоспособные цены. Мы также всегда готовы обсудить индивидуальные условия с нашими клиентами. Наши предложения на рынке являются наилучшими!

Мы предлагаем возможность приобретения оборудования в лизинговой форме совместно с несколькими лизинговыми компаниями:

  1. Оставьте заявку на нашем сайте или свяжитесь с нами по телефону.
  2. Наш опытный менеджер подготовит вам предложение на оборудование и предложит гибкий график платежей.
  3. После получения одобрения от лизинговой компании, вы заключаете договор лизинга.
  4. Лизинговая компания приобретает выбранное вами оборудование и передает его вам в лизинг.
  5. Вы можете немедленно начать использование медицинского оборудования в своей практике.
  6. В течение договорного периода вы регулярно вносите лизинговые платежи. По окончании срока договора, оборудование переходит в вашу собственность.

Не упускайте возможность! Звоните нам уже сейчас по телефону 8 800 700 21 33, чтобы получить выгодную цену и наилучшие условия финансирования. Чем раньше вы сделаете заказ, тем выгоднее будет для вас! Оставьте заявку на коммерческое предложение по УЗИ аппарату Mindray DC-40 EXP.

Технические характеристики
Диагональ монитора:
19 дюйм
Диагональ командной сенсорной панели:
13.3 дюйм
Вес аппарата:
70 кг
Жесткий диск:
1000 ГБ
Тип аппарата:
Стационарный
Эластография:
Компрессионная
Класс аппарата:
Средний
Поддерживаемые датчики:
Высокоплотные
Количество портов:
4
Страна производитель:
Китай
Бренд:
Mindray
Категория:
Общая визуализация, Гинекология и акушерство, УЗИ для кардиологии
Доступные опции
Режимы акустической прозрачности 3D:
Нет
Трехмерная реконструкция ЦДК:
Нет
Объемное сканирование:
Да
Трехмерная реконструкция методом свободной руки:
Нет
Эластография сдвиговой волной/Эластометрия:
Нет
Компрессионная эластография:
Да
Автоматическая подстройка рамки допплера:
Нет
Режим полной автоматизации:
Нет
Недопплеровская визуализация кровотока:
Нет
Тканевой допплер:
Да
Направленный энергетический допплер:
Да
Энергетический допплер:
Да
Высокочастотный импульсный допплер:
Да
Цветовой допплер:
Да
Постоянно-волновой допплер:
Да
Импульсно-волновой допплер:
Да
Анатомический М-режим:
Да
Панорамное сканирование:
Да
Режим B-сканирования с отклонением угла:
Нет
Трапециевидное сканирование/Виртуальный конвекс:
Да
Триплексное сканирование:
Да
Дуплексное сканирование:
Нет
Цветной M-режим:
Нет
M-режим:
Да
B-режим, Двухмерное сканирование:
Да
Область применения
Общая визуализация:
Да
Кардиология:
Да
Гинекология:
Да
Компоненты дополнительной поставки
4D:
Да
DICOM:
Да
B-Steer:
Да
Аккумуляторная батарея:
Да
Подавление зернистости:
Да
Подогреватель геля:
Да
ЭКГ модуль:
Да
iScape:
Да
PSHI:
Да
ExFOV:
Да
Natural Touch Elastography:
Да
UWN+:
Да
TDI:
Да
MedSight:
Да
iScanHelper:
Да
iBeam:
Да
iTouch :
Да
iZoom:
Да
iStorage:
Да
iStation:
Да
iClear:
Да
Auto IMT+:
Да
Онлайн калькулятор
Цена
Ориентировочная цена модели
Аванс
10% 100%
 
Срок лизинга
12 месяцев 36 месяцев
 
Ежемесячный платёж
Первоначальный взнос
* Рассчет платежа носит информационный характер и не является публичной офертой.
Условия лизинга индивидуальны для каждого договора.
Условия лизинга
  • По всей России (Включая Крым, Дагестан и Чечню)
  • Авансовый платеж от 10% (для УЗИ брендов GE, Mindray и Samsung)
  • Оформление лизинга от 48 часов
  • Возможность досрочного погашения
  • Лизинг оборудования от 1 года

Mindray DC-40EXP - базовая конфигурация

  • 19-дюймовый ЖК-монитор высокого разрешения;
  • Natural Touch Elastography - опция оценки эластичности ткани (эластография). Действует на линейных датчиках 7L4A, L12-3E и L14-6NE;
  • UWN Contrast Imaging™ - опция для проведения обследования с применением контрастных веществ (поддерживается на датчиком 3C5A);

Возможные аппаратные и программные опции Mindray DC-40

  • 4D Module - 4D Модуль для подключения объемных датчиков;
  • CW Module - Блок постоянно-волнового доплера CW;
  • ECG Module (ICE) - Модуль регистрации физиологических сигналов (ЭКГ) стандарта ICE;
  • iPower iPower - Встроенная батарея (обеспечивает до 80 минут автономной работы сканера);
  • Pedoff Probe Port - Порт для карандашного датчика (требуется наличие блока постоянно-волнового доплера CW Module);
  • Natural Touch Elastography - опция оценки эластичности ткани (эластография). Действует на линейных датчиках 7L4A, L12-3E и L14-6NE (в модификации Mindray DC-40 EXP поставляется по умолчанию);
  • UWN Contrast Imaging™ - Опция для проведения обследования с применением контрастных веществ (поддерживается на датчике 3C5А) (в модификации Mindray DC-40 EXP поставляется по умолчанию);
  • Smart Bladder - Программа для автоматического оконтуривания полости мочевого пузыря и расчета его объема;
  • iLive™ - Режим построения объемного изображения с применением технологии виртуальной свето-теневой обработки с возможностью перемещения источника освещения (необходим модуль Smart 3D или 4D Module);
  • iPage™ - Функция iPage - мультисрезовое томографическое отображение с регулировкой толщины среза (необходим модуль 4D);
  • TDI QA - Программа количественного анализа в режиме тканевого допплера;

  • Конвексный датчик Mindray 3C5A
  • Микроконвексный датчик Mindray 6C2P
  • Конвексный 4D датчик Mindray D7-2E
  • Линейный ультразвуковой датчик Mindray 7L4A
  • Линейный ультразвуковой датчик Mindray L12-3E
  • Мультичастотный линейный датчик Mindray L14-6
  • Высокочастотный линейный датчик 38 мм Mindray l14-6NE
  • Линейный датчик с широкой апертурой 7L5P
  • Линейный ультразвуковой датчик Mindray L7-3
  • Внутриполостной датчик Mindray V11-3
  • Микроконвексный внутриполостной датчик Mindray V10-4B
  • Эндоректальный биплановый датчик Mindray Cb10-4
  • Секторный фазированный датчик Mindray P4-2
  • Секторный фазированный датчик Mindray P7-3
  • Секторный фазированный ультразвуковой датчик Mindray CW5s
Давайте обсудим
Покупку или лизинг
медицинского оборудования