Тольятти ваш город?
Да
Выбрать другой город

УЗИ-аппарат
GE Vivid E95

В наличии
УЗИ аппарат Vivid E95 – это система 4D-сканирования премиум-класса, разработанная инженерами GE для наиболее сложных задач в области комплексной диагностической медицины. Синергия стационарной платформы Vivid и инновационной технологии cSound формирования ультразвукового луча позволяют добиваться потрясающих результатов в области сердечно-сосудистых исследований пациентов.
Лизинг
Доставка и лизинг по всей России
Включая Дагестан, Чечню и Крым
Гарантия
Гарантия на медицинское оборудование от производителя!
Послепродажный сервис
Инженерная поддержка
Инструктаж по монтажу и обучение персонала включены в стоимость
Гибкие условия
Оперативная доставка
Лизинг и доставка оборудования в наличии от 1 рабоего дня

В сравнении с обычными УЗИ-станциями, Vivid E95 – это настоящая машина по агрегированию гораздо большего количества данных, используя технологии точной конфокальной визуализации (TCI) и адаптивного контрастного усиления (ACE). Изображения снимков, которые способен выдавать этот аппарат, поражают воображения. Забудьте о «зерне» на записях.

Отдельный акцент стоит сделать на высокоточных датчиках, обеспечивающих полноценную работу врача в той или иной нише медицины. Система оснащена системами оптимизации рабочего процесса, которая предоставляет качественную аналитику диагноза.

Таким образом достигаются следующие преимущества:

  • Снижаются рабочие издержки специалиста, а значит и клиники.
  • Достигается высочайшая точность диагноза.
  • Увеличивается процент выявленных сердечно-сосудистых патологий.
  • Растет поток пациентов в клинику.

Vivid E95 – это интеллектуальная система, способная проводить различного рода обследования, благодаря усовершенствованным двухмерным и цветовым доплеровским изображениям. Теперь время, проведенное с пациентом, становится бесценным. Ведь количество неинформативных исследований снижается.

Дополнительные преимущества УЗИ аппарата Vivid E95:

  • Детализированное отображение структур сердца, для улучшения взаимодействия между врачами УЗД и интервенционными кардиологами (хирургами).
  • Высочайшее качество изображений в ближней зоне обзора.
  • Дополнительная четкость отображения латеральных стенок.
  • Работа сканера во всех режимах 2D, 3D, 4D.

Возможности системы при проведении анализа.

  • Автоматическая оценка регионарной сократимости миокарда левого желудочка с расчетом большой группы параметров с помощью функции Automated Function Imaging (AFI).
  • Протоколы AFI Stress, позволяющие получать стандартные апикальные проекции в двумерном режиме и рассчитывать регионарную и глобальную продольную деформацию миокарда на всех уровнях нагрузки.
  • Функция 4D Strain для расчета глобальной и регионарной деформации миокарда на основе алгоритма пространственного спекл-трекинга, отображаемая в виде диаграммы «бычий глаз».
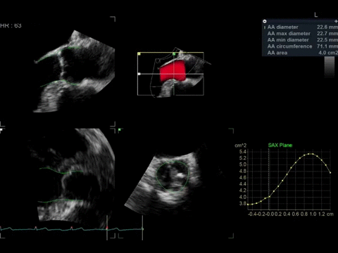
  • Функция 4D Auto AVQ для автоматического выравнивания, сегментации и расчета размеров кольца аортального клапана, используемая при транскатетерной имплантации аортального клапана (TAVI)/транскатетерной замене аортального клапана (TAVR).

Чреспищеводная эхокардиография в 4D режиме без потери производительности.

  • Многосрезовая визуализация в реальном времени или в режиме воспроизведения, позволяющая использовать массивы 4D данных для получения стандартных проекций по длинной и короткой оси.
  • Лазерные линии, улучшающие восприятие глубины и показывающие взаимосвязь объемных 4D изображений и двумерных срезов.

Купить УЗИ ультразвуковую диагностическую систему GE Vivid E95

Компания Medicray готова предложить вам выгодные условия приобретения данного оборудования. Мы специализируемся на поставках медицинского оборудования в клиники, медицинские и хирургические центры, стоматологии и другие лечебно-профилактические учреждения.

Чтобы оформить заказ или получить дополнительную информацию, оставьте заявку на нашем сайте или свяжитесь с нами по телефону 8 800 700 21 33. Наш менеджер подготовит для вас предложение на оборудование и предоставит график платежей.

Мы также предлагаем возможность приобретения оборудования в лизинговой форме совместно с несколькими лизинговыми компаниями. При оформлении лизинга вы получаете гибкие условия оплаты и возможность использовать оборудование уже сейчас.

Не упустите возможность получить выгодную цену и лучшие условия финансирования. Звоните нам прямо сейчас по телефону 8 800 700 21 33 и оставьте заявку на коммерческое предложение по УЗИ аппарату Vivid E95. В будущем цены могут быть выше!

Технические характеристики
Диагональ монитора:
22 дюйм
Диагональ командной сенсорной панели:
12.1 дюйм
Жесткий диск:
512 ГБ
Тип аппарата:
Стационарный
Эластография:
Нет
Класс аппарата:
Премиальный
Поддерживаемые датчики:
Матричные
Количество портов:
4
Страна производитель:
США
Бренд:
GE Healthcare
Категория:
Общая визуализация, УЗИ для кардиологии
Доступные опции
Режимы акустической прозрачности 3D:
Нет
Трехмерная реконструкция ЦДК:
Да
Объемное сканирование:
Нет
Трехмерная реконструкция методом свободной руки:
Да
Эластография сдвиговой волной/Эластометрия:
Нет
Компрессионная эластография:
Нет
Автоматическая подстройка рамки допплера:
Нет
Режим полной автоматизации:
Нет
Недопплеровская визуализация кровотока:
Нет
Тканевой допплер:
Да
Направленный энергетический допплер:
Да
Энергетический допплер:
Да
Высокочастотный импульсный допплер:
Да
Цветовой допплер:
Да
Постоянно-волновой допплер:
Да
Импульсно-волновой допплер:
Да
Анатомический М-режим:
Да
Панорамное сканирование:
Да
Режим B-сканирования с отклонением угла:
Да
Трапециевидное сканирование/Виртуальный конвекс:
Да
Триплексное сканирование:
Нет
Дуплексное сканирование:
Нет
Цветной M-режим:
Нет
M-режим:
Нет
B-режим, Двухмерное сканирование:
Нет
Область применения
Общая визуализация:
Да
Кардиология:
Да
Компоненты дополнительной поставки
4D:
Да
DICOM:
Да
IMT (Intima Media thickness):
Да
B-Steer:
Да
Подавление зернистости:
Да
Стресс-эхо:
Да
ЭКГ модуль:
Да
Blood Speckle Imaging:
Да
Advanced Q-Scan Imaging:
Да
Myocardial Work:
Да
View-X:
Да
HDlive:
Да
AFI:
Да
AutoEF:
Да
Онлайн калькулятор
Цена
Ориентировочная цена модели
Аванс
10% 100%
 
Срок лизинга
12 месяцев 36 месяцев
 
Ежемесячный платёж
Первоначальный взнос
* Рассчет платежа носит информационный характер и не является публичной офертой.
Условия лизинга индивидуальны для каждого договора.
Условия лизинга
  • По всей России (Включая Крым, Дагестан и Чечню)
  • Авансовый платеж от 10% (для УЗИ брендов GE, Mindray и Samsung)
  • Оформление лизинга от 48 часов
  • Возможность досрочного погашения
  • Лизинг оборудования от 1 года

Базовая концигурация системы

  • Широкоформатный OLED-монитор 22".
  • Технологии 4D-визуализации: за одно/два/несколько сокращений сердца, Flexi-Volumes.
  • Биплановая и триплановая визуализация.
  • Множественные срезы (5, 7, 9, 6 или 12-срезов).
  • 4D ЦДК.
  • Рендерные карты глубины, вкл. Depth Illumination.
  • Стереовизуализация.
  • Ускоренный пакет обработки и обсчета данных 4D (Auto LVQ/4D Views).
  • Улучшенный 4D Пакет:
    • Автовыравнивание.
    • Измерения по рендерному изображению.
    • Динамическая обрезка.
    • Динамические срезы (до 9 срезов), множественные срезы в реальном времени (до 9 срезов).
  • 4D рабочий интерфейс:
    • Быстрая ротация.
    • Обрезка в 2 нажатия.
    • Гибкие срезы.
    • Лазерные линии.
    • Биплановая подготовка.
    • Гибкий Зум.
  • Программируемые протоколы выполнения исследований Scan Assist (4D-стресс /2D-стресс/ для сердечной ресинхронизации (CRT).
  • Автоматизированный протокол выполнения исследований Scan Assist Pro.
  • Технологии улучшения визуализации (UD Clarity, HD Imaging, CPI, ATO, ASO, CTO).
  • Анатомический М-режим (в т.ч. криволинейный AMM/Curved AMM).
  • TVI/Tissue Tracking (Режим цветового тканевого допплера и оценки амплитуды смещения миокарда).
  • Compound (многолучевое составное сканирование).
  • Технология конфокальной визуализации.
  • Технология «виртуальной верхушки», расширение ближнего поля визуализации на секторном датчике.
  • Технология "виртуального конвекса", расширение дистальной зоны на линейном датчике.
  • Панорамное сканирование (LOGIQView).
  • Программа автоматического и ручного анализа данных тканевого допплера, контрастных исследований, СтрессЭхоКГ (Q-Analysis – Qstress, QTVI, QContrast).
  • Технологии улучшенной визуализации сосудов и сосудистого кровотока (B-flow /BFI/Speckle Reduce).
  • Z-Scores для педиатрии (экспертная оценка развития сердечно-сосудистой системы плода).
  • Раcширенный пакет создания отчетов (с поддержкой структуры отчетов DICOM, EchoPAC).
  • Структурированные системы отчетов для сердечно-сосудистых исследований, сердечной недостаточности.
  • Расширенный пакет опций совместимости в формате DICOM ( DICOM Connectivity Pack).
  • Настраиваемый режим записи/обработки ретро-/проспективной кинопетли.
  • Модуль контрастного исследования полости ЛЖ (LVO Contrast).

Компоненты дополнительной поставки

  • Advanced Q-Scan Imaging - автоматическая оценка и цветовое кодирование синхронности сокращения, деформации и скорости деформации миокарда.
  • AFI - режим цифровой недопплеровской качественной и количественной оценки региональной сократительной функции ЛЖ.
  • 2D AutoEF - режим автоматической недопплеровской количественной оценки глобальной сократительной функции ЛЖ по Simpson (датчики 4V-D, M5S-D).
  • Smart Stress - модуль программ для проведения стресс-эхо исследований.
  • AFI Stress - модуль AFI Stress предназначен для проведения стресс-исследования и последующей автоматической оценки продольной систолической деформации миокарда на каждом этапе стресс-исследования с использованием различных протоколов.
  • BSI (Blood Speckle Imaging) - режим цветовой недопплеровской визуализации и качественной оценки внутрисердечной гемодинамики (датчики 6S, 12S, 6VT-D).
  • Myocardial Work - модуль дополнительной качественной и количественной оценки глобальной и региональной сократительной функции миокарда левого желудочка, взаимосвязи систолической продольной деформации и давления.
  • IMT (Intima Media thickness) - технология автоматического определения и оконтуривания комплекса интима-медиа с расчетом его толщины.
  • 4D Strain and LV Mass - модуль расчета показателей деформации, скорости деформации и массы миокарда ЛЖ на основе данных 4D-исследования.
  • 4D LV Mass - модуль расчета массы миокарда ЛЖ на основе данных 4D-исследования.
  • 4D Auto AVQ - модуль автоматического выравнивания, сегментации и обсчета размеров кольца аортального клапана по объемным данным.
  • 4D Auto MVQ - оценка митрального клапана(работает с объемными данными).
  • 4D Auto RVQ - оценка объемов и фракции выброса правого желудочка (работает с объемными данными).
  • Vascular Contrast - модуль для улучшения диагностической точности исследований сосудов и органов брюшной полости с использованием контрастных веществ (на датчиках 9L-D and C1-6-D).
  • Advanced Contrast Low MI - модуль улучшенного контрастного исследования с низким механическим индексом(на датчиках M5Sc-D, 4V-D), вкл. в себя опцию Vascular Contrast.
  • HDLive - программная опция обработки и улучшенной визуализации объемных структур.
  • DICOM viewer - опция для записи изображений пациента в формате DICOM на внешние носители (USB, DVD) со встроенным просмотрщиком для их последующего просмотра на ПК.
  • View-X - программно-аппаратный модуль для передачи изображения в реальном времени с рентгенологической установки на экран прибора Vivid E95.

  • Конвексный датчик C1-6-D
  • Монокристальный мультичастотный конвексный датчик GE C2-9-D
  • Ультразвуковой линейный датчик 9L-D
  • Линейный ультразвуковой датчик GE 11L-D
  • Неотображающий карандашный доплеровский датчик GE P2D
  • Карандашный датчик GE P6D
  • Микроконвексный датчик C3-10-D
  • Матричный фазированный секторный датчик M5Sc-D
  • Интраоперационный линейный датчик GE L8-18i-D
  • Cекторный фазированный датчик GE 6S-D
  • Мультичастотный секторный фазированный датчик GE 12S-D
  • Внутриполостной микроконвексный датчик GE RIC5-9-D
  • Чреспищеводный датчик GE 6Tc-RS
  • Чреспищеводный датчик GE 9T-RS
Давайте обсудим
Покупку или лизинг
медицинского оборудования