Тольятти ваш город?
Да
Выбрать другой город

УЗИ-аппарат
GE Vivid E90

В наличии
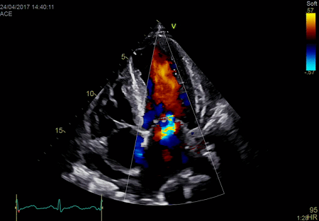
УЗИ-система GE Vivid E90 представляет собой премиальное оборудование для проведения сердечно-сосудистых и других кардиоваскулярных диагностических исследований в режиме 2D. Эта система основана на инновационной платформе cSound с программным формированием ультразвукового луча, что позволяет минимизировать количество неинформативных исследований. Главным преимуществом системы Vivid E90 является ее непревзойденная точность процедур в своем классе.
Лизинг
Доставка и лизинг по всей России
Включая Дагестан, Чечню и Крым
Гарантия
Гарантия на медицинское оборудование от производителя!
Послепродажный сервис
Инженерная поддержка
Инструктаж по монтажу и обучение персонала включены в стоимость
Гибкие условия
Оперативная доставка
Лизинг и доставка оборудования в наличии от 1 рабоего дня

Общее описание

УЗИ-система GE Vivid E90 предоставляет возможность получать гораздо больше данных в единицу времени и автоматически интерпретировать их согласно поставленному диагнозу благодаря интеллектуальной системе конфокальной визуализации (TCI). Высокое качество изображения обеспечивается системой адаптивного контрастного усиления (ACE) и использованием большого 22-дюймового OLED-монитора с высоким контрастом черного.

С УЗИ-сканером такого уровня, как GE Vivid E90, вы получаете неоспоримые преимущества на рынке диагностики. Ваши диагнозы становятся точными, вы можете работать с пациентами различного телосложения, а рутинные процессы упрощаются, освобождая время медицинского персонала. Все это и многое другое становится возможным с использованием E90.

Ключевые преимущества данного сканера:

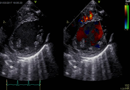
  • Детализированное отображение структур сердечной мышцы, позволяющее быстро установить точный диагноз и подобрать наиболее эффективную схему терапии.
  • Высокое качество визуализации.
  • Четкость изображения боковых стенок сердца и детализация.
  • Большая глубина проникновения ультразвуковых лучей.
  • Простота в выполнении даже самых сложных исследований.

У нас вы можете приобрести высокочувствительные датчики нового поколения для качественных диагностических исследований.

Купить УЗИ ультразвуковую диагностическую систему GE Vivid E90

Мы специализируемся на поставках медицинского оборудования в клиники, медицинские и хирургические центры, стоматологии и другие лечебно-профилактические учреждения. Мы гарантируем своевременные поставки, высокое качество оборудования и оптимальные цены. У нас всегда открыты для индивидуальных договоренностей.

Мы также предлагаем возможность приобретения оборудования в лизинговой форме совместно с несколькими лизинговыми компаниями:

  • Оставьте заявку на нашем сайте или свяжитесь с нами по телефону 8 800 700 21 33.
  • Наш менеджер подготовит для вас предложение на оборудование и предоставит график платежей.
  • После получения одобрения от выбранной лизинговой компании, вы заключаете договор лизинга.
  • Лизинговая компания приобретает выбранное оборудование и передает его вам в лизинг.
  • Вы начинаете использовать медицинское оборудование.
  • В течение срока договора вы регулярно вносите лизинговые платежи, а по окончании договора оборудование переходит в вашу собственность.

Не упустите возможность получить выгодную цену и лучшие условия финансирования. Позвоните нам уже сейчас по телефону 8 800 700 21 33 и оставьте заявку на коммерческое предложение по аппарату GE Vivid E90. В будущем цены могут быть выше!

Технические характеристики
Диагональ монитора:
22 дюйм
Диагональ командной сенсорной панели:
12 дюйм
Жесткий диск:
500 ГБ
Тип аппарата:
Стационарный
Эластография:
Нет
Класс аппарата:
Премиальный
Поддерживаемые датчики:
Матричные
Количество портов:
4
Страна производитель:
США
Бренд:
GE Healthcare
Категория:
Общая визуализация, УЗИ для кардиологии
Доступные опции
Режимы акустической прозрачности 3D:
Нет
Трехмерная реконструкция ЦДК:
Нет
Объемное сканирование:
Нет
Трехмерная реконструкция методом свободной руки:
Нет
Эластография сдвиговой волной/Эластометрия:
Нет
Компрессионная эластография:
Нет
Автоматическая подстройка рамки допплера:
Нет
Режим полной автоматизации:
Нет
Недопплеровская визуализация кровотока:
Да
Тканевой допплер:
Да
Направленный энергетический допплер:
Да
Энергетический допплер:
Да
Высокочастотный импульсный допплер:
Да
Цветовой допплер:
Да
Постоянно-волновой допплер:
Да
Импульсно-волновой допплер:
Да
Анатомический М-режим:
Да
Панорамное сканирование:
Да
Режим B-сканирования с отклонением угла:
Нет
Трапециевидное сканирование/Виртуальный конвекс:
Да
Триплексное сканирование:
Нет
Дуплексное сканирование:
Нет
Цветной M-режим:
Нет
M-режим:
Нет
B-режим, Двухмерное сканирование:
Нет
Область применения
Общая визуализация:
Да
Кардиология:
Да
Компоненты дополнительной поставки
DICOM:
Да
IMT (Intima Media thickness):
Да
B-Steer:
Да
Подавление зернистости:
Да
Стресс-эхо:
Да
ЭКГ модуль:
Да
Онлайн калькулятор
Цена
Ориентировочная цена модели
Аванс
10% 100%
 
Срок лизинга
12 месяцев 36 месяцев
 
Ежемесячный платёж
Первоначальный взнос
* Рассчет платежа носит информационный характер и не является публичной офертой.
Условия лизинга индивидуальны для каждого договора.
Условия лизинга
  • По всей России (Включая Крым, Дагестан и Чечню)
  • Авансовый платеж от 10% (для УЗИ брендов GE, Mindray и Samsung)
  • Оформление лизинга от 48 часов
  • Возможность досрочного погашения
  • Лизинг оборудования от 1 года

Базовая концигурация системы

  • HD OLED-монитор 22".
  • Сенсорный экран 12".
  • 4 активных порта для подключения датчиков.
  • Программируемые протоколы выполнения исследований Scan Assist (2D-стресс/ для сердечной ресинхронизации (CRT).
  • Автоматизированный протокол выполнения исследований Scan Assist Pro.
  • Технологии улучшения визуализации (UD Clarity, HD Imaging, CPI, ATO, ASO, CTO).
  • Анатомический М-режим (в т.ч. криволинейный AMM/Curved AMM).
  • TVI/Tissue Tracking (Режим цветового тканевого допплера и оценки амплитуды смещения миокарда).
  • Compound (многолучевое составное сканирование).
  • Технология конфокальной визуализации.
  • Технология «виртуальной верхушки», расширение ближнего поля визуализации на секторном датчике.
  • Технология "виртуального конвекса", расширение дистальной зоны на линейном датчике.
  • Панорамное сканирование (LOGIQView).
  • Программа автоматического и ручного анализа данных тканевого допплера, контрастных исследований, СтрессЭхоКГ (Q-Analysis – Qstress, QTVI, QContrast).
  • Технологии улучшенной визуализации сосудов и сосудистого кровотока (B-flow /BFI/Speckle Reduce).
  • Z-Scores для педиатрии (экспертная оценка развития сердечно-сосудистой системы плода).
  • Раcширенный пакет создания отчетов (с поддержкой структуры отчетов DICOM, EchoPAC).
  • Структурированные системы отчетов для сердечно-сосудистых исследований, сердечной недостаточности.
  • Расширенный пакет опций совместимости в формате DICOM (DICOM Connectivity Pack).
  • Настраиваемый режим записи/обработки ретро-/проспективной кинопетли.
  • Модуль контрастного исследования полости ЛЖ (LVO Contrast).

Компоненты дополнительной поставки

  • Advanced Q-Scan Imaging - автоматическая оценка и цветовое кодирование синхронности сокращения, деформации и скорости деформации миокарда.
  • AFI - режим цифровой недопплеровской качественной и количественной оценки региональной сократительной функции ЛЖ.
  • 2D AutoEF - режим автоматической недопплеровской количественной оценки глобальной сократительной функции ЛЖ по Симпсону на датчиках 4V-D, M5S-D.
  • Smart Stress - модуль программ для проведения стресс-эхо исследований.
  • AFI Stress - опция для проведения стресс-исследования и последующей автоматической оценки продольной систолической деформации миокарда на каждом этапе стресс-исследования с использованием различных протоколов.
  • BSI (Blood Speckle Imaging) - режим цветовой недопплеровской визуализации и качественной оценки внутрисердечной гемодинамики на датчиках 6S, 12S, 6VT.
  • Myocardial Work - модуль дополнительной качественной и количественной оценки глобальной и региональной сократительной функции миокарда левого желудочка, взаимосвязи систолической продольной деформации и давления.
  • Модуль для работы в режиме биплановой и трехплановой визуализации на чреспищеводном объемном датчике 6VT.
  • IMT (Intima Media thickness) - технология автоматического определения и оконтуривания комплекса интима-медиа с расчетом его толщины.
  • Vascular Contrast - модуль для улучшения диагностической точности исследований сосудов и органов брюшной полости с использованием контрастных веществ на датчиках 9L-D и C1-6-D.
  • Модуль улучшенного контрастного исследования с низким механическим индексом на датчиках M5Sc-D, 4V-D, включает в себя опцию Vascular Contrast.
  • DICOM viewer - опция для записи изображений пациента в формате DICOM на внешние носители (USB, DVD) со встроенным просмотрщиком для их последующего просмотра на ПК.

Принадлежности

  • Набор кабелей и коннекторов для соединения с внешним источником ЭКГ-сигнала.
  • Детский ЭКГ-кабель на 3 отведения DIN, IEC.
  • Набор детских ЭКГ-электродов на тканевой основе с присоединенными отведениями DIN, IEC (600 шт).
  • Переходник с Multi-Link на DIN на 3 отведения.
  • Защитный чехол для транспортировки и хранения аппарата.
  • Педальный программируемый управляющий комплекс.
  • USB-носитель цифровой информации на 32 Гб.
  • Встраиваемый пишущий DVD-привод.
  • Внешний цифровой DVD-Recorder для записи потокового видео.

Принтеры

  • Цифровой черно-белый видео принтер Sony UP-D898.
  • Цветной принтер Sony UP-D25MD.
  • Цветной лазерный принтер HP Laserjet Pro 400.

  • Конвексный датчик C1-6-D
  • Монокристальный мультичастотный конвексный датчик GE C2-9-D
  • Микроконвексный датчик C3-10-D
  • Внутриполостной микроконвексный датчик GE RIC5-9-D
  • Интраоперационный линейный датчик GE L8-18i-D
  • Ультразвуковой линейный датчик 9L-D
  • Линейный ультразвуковой датчик GE 11L-D
  • Неотображающий карандашный доплеровский датчик GE P2D
  • Карандашный датчик GE P6D
  • Матричный фазированный секторный датчик M5Sc-D
  • Cекторный фазированный датчик GE 6S-D
  • Мультичастотный секторный фазированный датчик GE 12S-D
  • Чреспищеводный датчик GE 6Tc-RS
  • Чреспищеводный датчик GE 9T-RS
Давайте обсудим
Покупку или лизинг
медицинского оборудования